
- Знімок легень при пневмонії
- Що таке пневмонія і чому вона важлива
- Важливість рентгену в діагностиці
- Як виглядає знімок легень при пневмонії
- Типові ознаки на знімку
- Як роблять рентгенографію легень
- Що робити після здавання рентгену
- Інші методи діагностики
- Переваги КТ при пневмонії
- Лікування пневмонії: сучасні підходи
- Антибіотики або щось інше?
- Замість висновку: спостереження і висновок
Знімок легень при пневмонії
Знімок легень при пневмонії… Основа, за якою визначають діагноз, оцінюють стан, вирішують долю лікування. Взагалі, рентгенологія перевернула світ медицини, але чому? Що такого особливого в цих знімках, де бронзи та скарби здоров’я? Давайте розбиратися.
Що таке пневмонія і чому вона важлива
Пневмонія — це запалення легень. Звучить просто, але… чи так це? Вона може вразити раптово, стрімко, ніби біла акула у темній воді. Хвороба, що часто видає себе за просту застуду, доки не стає надто пізно.
- Температура підвищується.
- З’являються болі в грудях.
- Задуха, кашель – чи це грип?
Ось чому треба відразу звертатися до лікаря. Але ж як дізнатися точно? Як не переплутати? Тут одним з основних інструментів стає знімок легень при пневмонії.
Важливість рентгену в діагностиці
Рентген — не просто задавнена технологія. Це справжня революція в медицині, винахід, що змінив долю медицини, та не лише її. Але давайте про рентген предметніше…
| Назва методу | Особливості |
|---|---|
| Рентгенологія | Швидкісна діагностика |
| КТ (комп’ютерна томографія) | Детальне зображення |
При підозрі на пневмонію завдяки рентгену можна легко визначити, чи є інфільтрація в легенях. Це те, що потрібно знати, перш ніж почати будь-яке лікування.
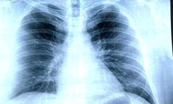
Як виглядає знімок легень при пневмонії
І от, коли ви отримали свій знімок легень при пневмонії — що ви бачите? Чорні і білі контури. Немов старе кіно, цей знімок відкриває театральність внутрішнього світу. Але … його мова специфічна.
Типові ознаки на знімку
- Поява “білих” зон, які свідчать про запальний процес.
- Зміни у формі та розмірах легень.
- Видимі розмиті границі легень.
Ці деталі говорять досвідченому очу фахівця більше, ніж десятки слів пацієнта.
Як роблять рентгенографію легень
Процедура рентгену настільки проста, що її можна провести, не виходячи з йогу. Це не магія, це технології 21 століття!
- Пацієнта просять зняти металеві прикраси.
- Тіло розташовується перед сенсором.
- Зроблено знімок — і все!
Швидкість процесу дозволяє не піддавати пацієнта зайвому навантаженню. Наприклад, дитина чи літня людина — це важливо.
Що робити після здавання рентгену
Після знімку, не тисність на себе. Чекайте результатів, а за потреби — швидко дійте.
Інші методи діагностики
Попри важливість рентгену іноді застосовуються інші методи. Рентген не є єдиною відповіддю. КТ, наприклад… чи МРТ? Чи варто? Ускладнення, щось більше, потребують більш чутливого обладнання. Комп’ютерна томографія може стати відмінним доповненням.
Переваги КТ при пневмонії
- Об’ємне зображення легень.
- Детальний огляд тканин.
- Точність у визначенні об’ємних уражень.
Все це коштує більше, але рятувати здоров’я — дорогоцінне завдання, хіба ні?
Лікування пневмонії: сучасні підходи
Сплановане лікування — половина успіху. Антибіотики, методи народної медицини, фізіотерапія… Але без точного діагнозу воно не таке ефективне.
Антибіотики або щось інше?
Вибір антибіотиків — це завжди питання. Використання без підтвердження даних? Небезпечно. Професіонали рекомендують комбінувати методи діагностики, щоб уникнути помилок.
Зрештою, медицина інтегрує старі та нові методи. Від рентгену до фармацевтики. Майбутнє їсть різні сторони, втім, саме рентген залишається наріжним.
Замість висновку: спостереження і висновок
Чи можна уявити медицину без знімок легень при пневмонії? Навряд. Від часу відкриття рентгенівського проміння він став ключовим у діагностиці. І, якщо подумати…
Розвиток технологій дає нові можливості. КТ та МРТ відкривають незбагненні раніше перспективи. Але рентген лишається основою, і це факт.
Цінність здоров’я — відчуття таке, як ріднина, що проходить крізь пальці. І кожен мусить берегти його. Наскільки можливо, без ризиків та ускладнень. І, можливо, цю роль зіграє такий звичний уже… знімок легень.






