
Флюс у дитини: що робити, якщо виникла проблема?
Флюс у дитини — це проблема, яку багато батьків стикалися хоча б раз. Але що ж насправді відбувається, коли батьки чують цей тривожний діагноз? Чи варто панікувати, чи це просто ще один етап дорослішання зубок нашого малечі? Давайте розбиратися разом.
Що таке флюс?
Флюс, або ж гострий періостит, — це запалення окістя, часто стає наслідком неякісного лікування зубів або . . . карієсу? Так, саме він! Карієс, цей замаскований ворог, який підкрадається тихо. Дитячі зуби ще слабкі, емаль ще не така міцна, тому карієс може бути дуже агресивним, і зупинити його складніше.
Симптоми: як зрозуміти, що щось не так?
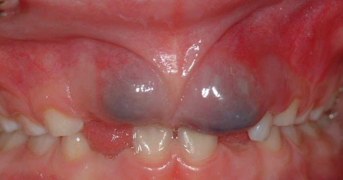
- Набрякання ясен. Це очевидний сигнал. Якщо дитина скаржиться на дискомфорт у роті, зверніть увагу на наявність припухлості.
- Біль. Не варто сподіватися, що “минеться”. Флюс приносить із собою нестерпний біль, особливо якщо запалення зачепило нерви чи зубні корені.
- Підвищення температури. Іноді організм б’є тривогу — бореться з інфекцією. Температура може стати ще одним тривожним сигналом.
- Набрякання обличчя. Так, саме обличчя. Це вже серйозний дзвоник, коли одна половина виглядає, наче після боксу.
Основні причини флюсу
Чому виникає флюс? Раптом, наче сніг на голову. Але якщо розібратися детальніше, то все цілком логічно:
- Карієс: найпоширеніший злочинець. Ігнорування профілактичних оглядів може коштувати дорого.
- Травми: дитина грається на майданчику… і ось, неприємності. Удари по щелепі, зуби піддались сильному натиску.
- Інфекції: різноманітна патогенна мікрофлора, яка любить розмножуватись у несприятливих умовах.
Що робити батькам?
Перше — не панікувати. Ну, звісно, це легше сказати, ніж зробити, але все ж таки. Ось кілька порад, які можуть допомогти:
| Дії | Опис |
|---|---|
| Візит до лікаря | Негайний візит до стоматолога. Тут уже немає “завтра”. Чим швидше, тим краще. |
| Лікування | Після оцінки стану лікар прийме рішення про необхідний курс дій: лікування зубів, можливо навіть хірургічне втручання для видалення гною. |
| Домашні засоби | Теплі полоскання соляним розчином можуть трохи полегшити біль і зменшити запалення. |
Як запобігти повторному виникненню флюсу?
Знаєте ви чи ні, але гігієна — наше все. Звичка чистити зуби зранку і ввечері повинна бути доведена до автоматизму. Ну й, звісно, не забуваємо про регулярні огляди у стоматолога — двічі на рік цілком достатньо. І якщо ви думаєте, що це надмірно, подумайте знову, коли побачите усмішку своєї дитини без страху перед стоматологічним кріслом.
Чого не варто робити?
- Стискати нитку на пальцях і думати, що минеться. Це не магія.
- Відкладати візит до спеціаліста.
- Самостійно призначати антибіотики — це справа виключно лікаря.
Флюс у дитини: пильнуйте та не бійтеся діяти
Запам’ятайте: здоров’я зубів ваших дітей — це інвестиція у їхнє майбутнє. Не забувайте про профілактику і при перших ознаках флюсу у дитини звертайтесь до професіоналів. Наші діти заслуговують на найкраще, і це в наших руках: маленьких, але таких важливих.







