
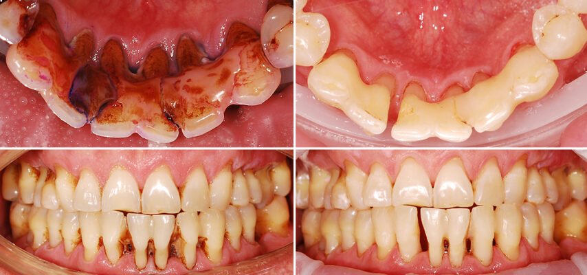
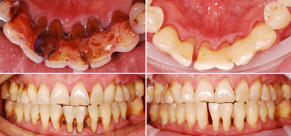
Що робити, коли ясна відійшли від зуба
Уявіть собі це: ви чистите зуби, а тут ясна відійшли від зуба. Не панікуйте. Але. Це насторожує, так? Так ось, що тепер, друже? Робити, коли ясна дали збій у дружбі із зубами?
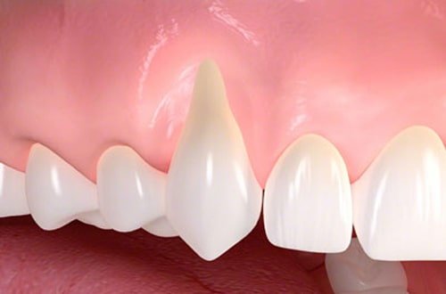
Як зрозуміти, що сталося?

Це не просто так сталося. Перше, що приходить на думку — “чи це боляче?”. Іноді — так. Біль може бути. Але інші рази ці проблеми тихенько підкрадаються, без галасу. Як злодій. Що ж це може бути?
- Кровоточивість ясен: особливо при чищенні зубів або вживанні твердої їжі.
- Чутливість: зуби раптом реагують на холодне, гаряче, кисле.
- Зміна кольору ясен: від блідо-рожевого до червоного або навіть синюшного.
Розв’язання проблеми
Отже, якщо ви помітили ці зміни — не відкладайте візит до стоматолога. Але й самі можете зробити декілька кроків, аби зміни були мінімальними.
- Регулярна гігієна: чистіть зуби двічі на день. Серйозно, без викрутасів.
- Корекція харчування: менше солодкого, на користь овочів. Так, вони можуть не бути найсмачнішими, але здоровими — так точно.
- Контроль шкідливих звичок: куріння та надмірне вживання алкоголю. Це вам точно не додає здоров’я.
Чому ясна відступають?
Це може бути не що інше, як генетика або старість. Але більш імовірно поняття “відходу” замішані з іншими факторами. Давайте розбирати.
Основні причини
- Пародонтит: інфекція, яка атакує ваші ясна. Дістає в глибині, вириваючи з коренем.
- Травми: думки тим, хто любить есктремально чистити зуби. Делікатність — наше все.
- Неправильний прикус: якщо зуби тиснуть одне на одного не так як треба, як наслідок маємо ясна, що відступають.
Наслідки, яких варто остерігатися
Якщо залишити все на самоплив, ясно — отримаєте серйозні сертифіковані неприємності. Зуби можуть хитатися, а це вже не жарти.
Можливі ускладнення
- Втрата зубів: ось це буває боляче, і буквально, і в переносному сенсі.
- Інфекції: відкриті ділянки роблять шлях для бактерій. Це війна, війна мікробів проти вас.
| Проблема | Вирішення |
|---|---|
| Кровоточивість | Регулярна консультація у стоматолога, змінити зубну щітку |
| Чутливість | Вибір спеціальної пасти для чутливих зубів |
| Зміна кольору | Переглянути дієту, візит до лікаря |
Як допомогти своїм яснам?
Тепер замислимось: як повернути ясна на місце? Потрібні профілактика і увага. Пам’ятайте, не всі герої носять клепальщики. Деякі — щітку з пастою.
Рекомендації спеціалістів
- Використовувати зубну нить: тонка як шовкова нить, але могутня як ведмідь. Щодня.
- Вибирати м’які щітки: не треба бути варваром у своїй роті.
- Регулярні огляди: візити до стоматолога — це не зрада, тільки користь.
Ось, тепер ви знаєте більше, ніж більшість ваших знайомих на цю тематику. І, між іншим, це круто, коли ясна на своєму місці, без інцидентів.







