
- Жовтий наліт на зубах у дитини: причини та рішення
- Причини жовтого нальоту на зубах у дітей
- Недостатня гігієна
- Харчування
- Природний колір зубів
- Медичні препарати
- Як уникнути появу жовтого нальоту
- Що робити, якщо наліт вже є?
- Відвідайте стоматолога
- Гігієна та дієта
- Ефективні методи лікування жовтого нальоту
- На закінчення
Жовтий наліт на зубах у дитини: причини та рішення
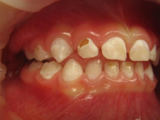
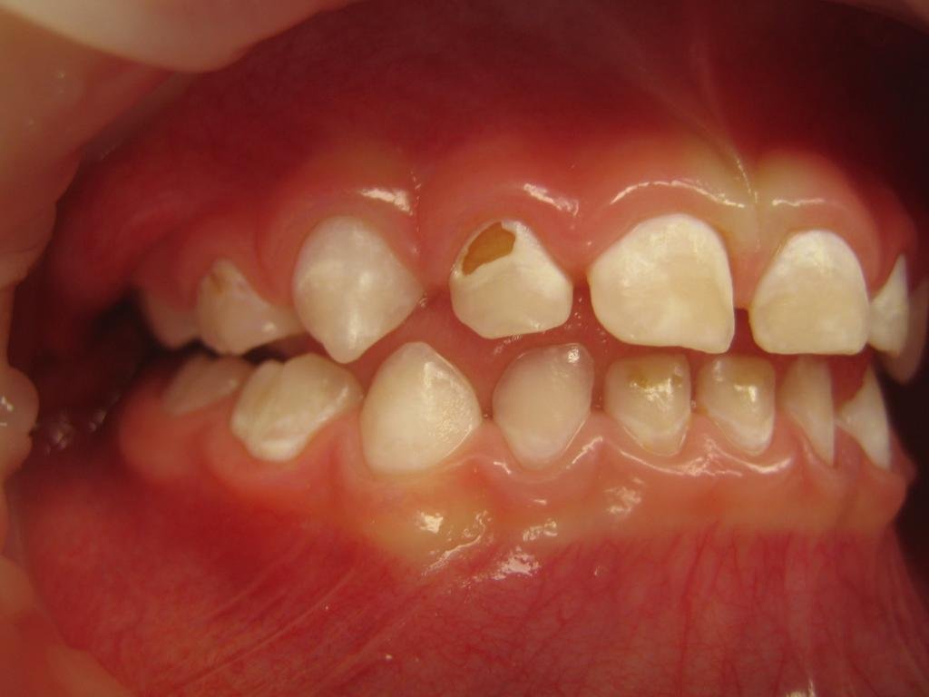
Жовтий наліт на зубах у дитини може зафіксувати увагу будь-якого з батьків. Але найперше — не панікуйте. Це може бути абсолютно нормальним явищем, як і ознакою певних проблем, які варто вирішувати. Розглянемо, чому він з’являється, як його уникнути та що робити, якщо він вже є.
Причини жовтого нальоту на зубах у дітей
Зуби дітей дуже чутливі до змін, і на вигляд можуть впливати найрізноманітніші фактори. Ось деякі з основних причин жовтого нальоту:
Недостатня гігієна
Один з найпоширеніших факторів, чому з’являється жовтий наліт на зубах у дитини — це недостатня гігієна. Дітей важко змусити чистити зуби, особливо коли вони тільки починають знайомитися із зубними щітками та пастами.
Харчування
- Цукерки
- Шоколад
- Газовані напої
- Соки промислового виробництва
- Залишки молочних продуктів
Ці продукти містять багато цукру і можуть спричиняти утворення нальоту і навіть карієс.
Природний колір зубів
У деяких випадках зуби дитини можуть мати природний жовтуватий відтінок без жодних проблем з гігієною або харчуванням.
Медичні препарати
Деякі антибіотики та інші препарати також можуть впливати на колір емалі або спричиняти осадження жовтого нальоту.
Як уникнути появу жовтого нальоту
Щоб не допустити поява жовтого нальоту на зубах у дитини, слід дотримуватись простих порад:
- Навчіть дитину правильно чистити зуби.
- Стежте за тим, що ваша дитина їсть, обмежте солодощі.
- Регулярно відвідуйте стоматолога — для профілактики.
- Обмежуйте споживання соків з концентратів і газованих напоїв.
Що робити, якщо наліт вже є?
Втім, якщо жовтий наліт вже з’явився, це ще не означає катастрофу. Але варто діяти.
Відвідайте стоматолога
Порадьтеся з фахівцем. Лікар зможе встановити причини та дати рекомендації щодо лікування чи профілактики.
Гігієна та дієта
Перегляньте гігієнічні процедури вдома та дієту дитини. Використовуйте зубні пасти, що містять фтор.
Ефективні методи лікування жовтого нальоту
| Метод | Опис |
|---|---|
| Професійна чистка | Стоматолог знімає наліт спеціальними інструментами. |
| Фторування | Зміцнення емалі за допомогою фтористих препаратів. |
| Дієтичні зміни | Зменшення споживання цукру та фарбуючих продуктів. |
На закінчення
Жовтий наліт на зубах у дитини може бути тривожним сигналом, але не завжди це щось серйозне. Головне — своєчасно звернути на нього увагу та вжити необхідних заходів. Знання та розуміння причин і методів боротьби — ваші головні інструменти у боротьбі за здорові дитячі зуби. Бережіть їх. І пам’ятайте, що періодичні перевірки у стоматолога — це не лише профілактика, а ще й запорука здоров’я вашої дитини.







