
Гліозні зміни головного мозку: невидимий, проте важливий процес
Гліозні зміни головного мозку — складні, незрозумілі навіть для сучасної науки процеси, що зачіпають найосновніші функції нашого мозку. Що це таке? Чому від них не сховаєшся? Як вберегти себе? Давайте копатися глибше… без класичних вступних відголосків.
Механіка гліозу: трохи деталей
Чесно, мозок — штука темна. Іноді випадає з немилості, ніби старий друг. І ось тут на авансцену виходять глії. Гліальні клітини, які складають значну частину тканини мозку, беруть участь у різних метаболічних процесах. Але коли нейрони страждають або відмирають, гліальні клітини часто виступають на заміну, утворюючи нову тканину. Такий процес називається гліозом.
І він може, як допомогти, так і нашкодити. Гліоз — це ремонтна бригада мозку, що приходить за потреби… Але часом ремонти стають надмірними.
Причини й каталізатори гліозних змін:
- Травми: звичайний удар головою чи серйозна аварія. Не тільки перелами болючі, мозок теж страждає.
- Інфекції: від банального грипу до страшного менінгіту.
- Хронічні захворювання: діабет, алкоголізм…
- Вікові зміни: з роками мозок, на жаль, не молодіє.
Якщо на всіх цих нічого не сховали? Гліоз розгортає повноцінні «будівельні» роботи.
Симптоматика та діагностика: що помічати?
У кожного свій поріг болю, своя межа терпіння. Але є сигнали, що вказують: щось пішло не так:
- Головний біль: несподіваний, стійкий чи періодичний.
- Порушення пам’яті та концентрації: забув, що говорив. Думаєш над простими речами.
- Порушення рухових функцій: ніби ноги не свої…
- Зміни настрою: легке подразнення чи важка депресія.
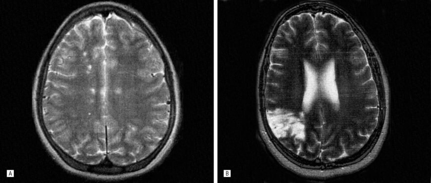
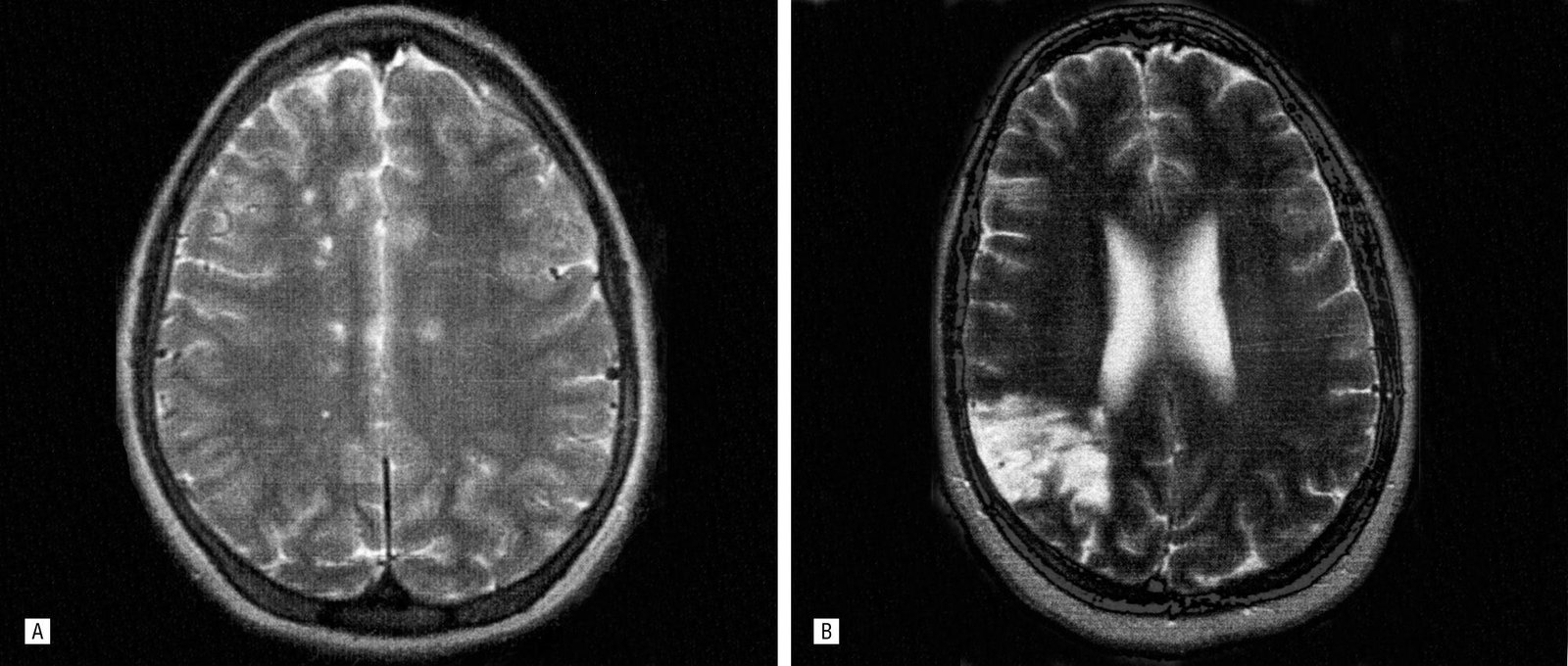
Як діагностують? Комп’ютерні технології приходять на допомогу: МРТ, КТ, електроенцефалографія.
Медичний погляд на лікування
Цікаво, чи існує магічний рецепт? Ліси, трави, чи сучасні препарати? Лікарі підходять з різних боків, але одна істина залишається — кожен випадок унікальний.
| Методи | Коментар |
|---|---|
| Медикаменти | Протизапальні, антигіпертензивні, антиоксиданти… |
| ЛФК | Тут тренування, точніше — їх унікальна роль. |
| Терапевтичні заходи | Як не занедбати себе. |
Вони не обіцяють чудес, але підтримка організму — це головне.
Профілактика та поради з особистого досвіду
Кожен, хто стежить за своїм здоров’ям, повинен враховувати кілька речей:
- Раціон: вітаміни — не просто слово. Вони помічники у великій справі.
- Спорт: активність стимулює все… навіть мозок.
- Відмова від шкідливих звичок: ну, ви в курсі.
- Регулярний відпочинок та сон: мозок теж потребує відпустки.
Що це означає для вас? Можливо, що ваша буденність стане трохи непростою. Але хто сказав, що життя — це просто?
Слово на завершення
Гліозні зміни головного мозку — не вирок, хоча й нерідко виклик. Вони непередбачувані, як наші думки, як наші мрії. І в цьому є своя краса, правда? Чи ні? Залишимо це на ваш розсуд…







