
- Ліки від пародонтозу: як повернути здоров’я ясен
- Що таке пародонтоз і чому це погано
- Ліки від пародонтозу: що слід шукати
- Народні методи лікування: чи мають вони сенс?
- Де лікуватися і як приймати ліки від пародонтозу
- Профілактика пародонтозу: прості кроки до здоров’я
- Важливість відвідування стоматолога
- Заключне слово
Ліки від пародонтозу: як повернути здоров’я ясен
Ліки від пародонтозу — це не просто таблетки чи мазі, це надія повернути здоров’я зубам і яснам. Як же знайти ідеальний засіб, коли на ринку тисячі варіантів? І взагалі, чи можливо вилікувати пародонтоз самотужки?
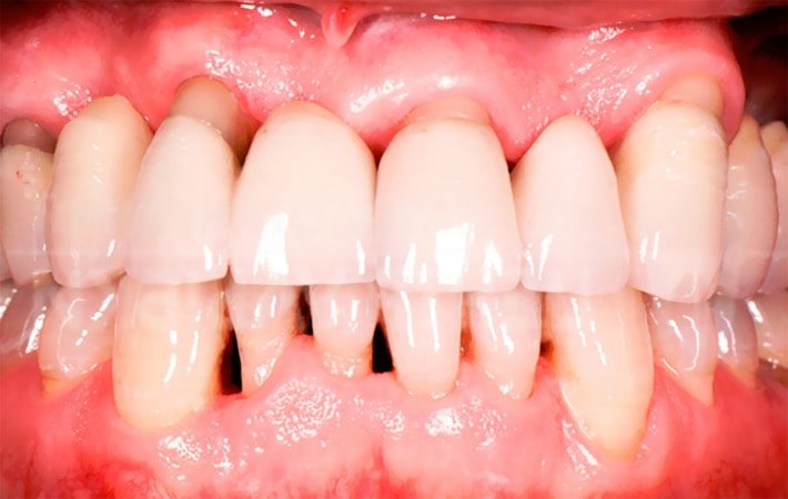
Що таке пародонтоз і чому це погано


Пародонтоз — це негласний ворог вашої усмішки. Хитріший брат гінгівіту, він крадеться поступово, руйнуючи ясна і зуби. Спочатку легке подразнення, потім — біль, кровотечі, а закінчується все втратою зубів. Як це не сумно.
- Симптоми: кровоточивість ясен, неприємний запах з рота, рухливість зубів.
- Причини: наліт, недостатня гігієна, генетика, куріння.
- Наслідки: втрата зубів, кістковий дефект, косметичні деформації.
Ліки від пародонтозу: що слід шукати
Лікарі кажуть, що основа лікування — це усунення нальоту і зменшення запалення. Ось про що йдеться:
- Антибактеріальні засоби. Вони знищують бактерії, що викликають запалення. Вибір є, від звичайної хлоргексидинової полоскалочки до професійних ліків.
- Протизапальні препарати. Можливо, аспірин? Але краще спеціальні засоби — це надійніше.
- Вітаміни і мінерали. Цинк і вітаміни групи В — ось ваші друзі.
- Фізіотерапія. Лазер, УВЧ, магнітотерапія. Звучить як фантастика, але працює.
| Тип ліків | Дія | Переваги |
|---|---|---|
| Антибактеріальні | Знищення бактерій | Швидке зниження симптомів |
| Протизапальні | Зменшення запалення | Поліпшення загального стану ясен |
| Вітамінні комплекси | Підтримка імунітету | Загальне зміцнення здоров’я |
Народні методи лікування: чи мають вони сенс?
Народна медицина також не залишається осторонь. Використання різних відварів, настоїв, масажів… Всі ці засоби або допомагають, або стають просто черговою байкою. Але чесно, поекспериментувати інколи варто.
- Ромашка. Підходить для полоскання рота, заспокійливо діє на ясна.
- Шавлія. Знімає запалення, зміцнює тканини ясен.
- Дубова кора. В’яжучий ефект, зменшує кровоточивість.
Де лікуватися і як приймати ліки від пародонтозу
Дома — це зручно, але ж якщо симптоми наростають, терміново до стоматолога. Тільки лікар розповість, які саме ліки від пародонтозу підходять вам. Крім того, регулярні огляди, професійне чищення — це теж частина лікування.
Профілактика пародонтозу: прості кроки до здоров’я
Повірте, профілактика — кращий метод лікування. Профілактичні заходи прості, але дієві:
- Регулярна чистка зубів, мінімум двічі на день.
- Використання зубної нитки. Реально, це важливо.
- Полоскання антисептичними розчинами.
- Збалансоване харчування. Так, це теж впливає на здоров’я ясен.
- Відмова від шкідливих звичок, особливо куріння.
Важливість відвідування стоматолога
Самолікування — річ безвідповідальна. Іноді народні засоби і безрецептурні ліки можуть дати тимчасовий ефект, проте більш кардинальні методи, як-от професійне чищення або навіть хірургія, вирішують проблему на корені. І не забувайте: регулярні огляди — це запорука здорового рота.
Заключне слово
Лікування пародонтозу — це комплексна річ. Не чекайте, поки зуби почнуть хитатися. Дійте! Профілактика, раннє виявлення та правильно підібрані ліки від пародонтозу — ваші основні інструменти. І пам’ятайте: усмішка — найкраща візитка, тому бережіть її.







