Здоров’я
Що Лікує Перга: Несподівані Скарби Натури Перга — бджолине диво, яке природа створила на користь людині. В народі її ще називають «бджолиний хліб».
Лікар пульмонолог, що лікує: чому це важливо? Лікар пульмонолог, що лікує, є тим важливим фахівцем, який може змінити все. І коли мені кажуть, що здоров’я
Що лікує сік лопуха: далекі корені та сучасні користі Коли йдеться про природні засоби зцілення, багато хто згадує лопух. Вірніше — його сік.
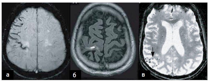
Хвороба Бінсвангера: лікування і його виклики Коли мова йде про хвороба Бінсвангера, лікування стає справжнім викликом для лікарів і пацієнтів.
Здоров'я
Чи можна пити молоко при цукровому діабеті: аналіз, поради, висновки Чи можна пити молоко при цукровому діабеті? Це питання виникає у багатьох, кого торкнулася ця хвороба.
Лікар що лікує спину: хто він і як знайти порятунок від болю Лікар, що лікує спину, — кого ми взагалі маємо на увазі, коли говоримо про цю людину?
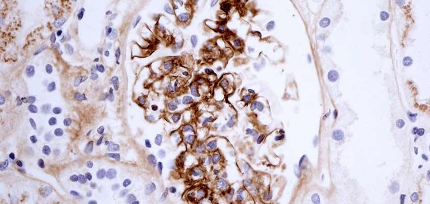
Хвороба Берже: Загадка Сучасної Медицини Хвороба Берже, також відома як IgA-нефропатія, хвилює медиків у всьому світі. Складна та, деколи, незрозуміла.
Сечокам’яна хвороба у собак: Причини, симптоми та лікування Сечокам’яна хвороба у собак. О так, саме вона. Хвороба, яка не лише лякає власників
Мієломна хвороба ускладнення: що варто знати Мієломна хвороба. Просто так і начебто нічого страшного на перший погляд. Але як тільки заглиблюєшся, розумієш
Здоров'я
Хвороба буряків: проблеми й вирішення Ніхто не застрахований від проблеми, коли на городі буряки починають жовтіти. Хвороба буряків може стати суттєвою







