Різне
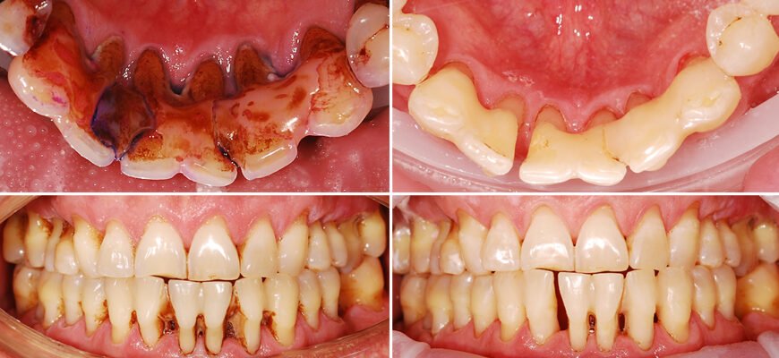
Що робити, коли ясна відійшли від зуба Уявіть собі це: ви чистите зуби, а тут ясна відійшли від зуба. Не панікуйте. Але. Це насторожує, так?
Шавлія від кашлю: природний шлях до здоров’я Шавлія від кашлю — не лікарський засіб, який можна знайти в кожній аптеці, але його ефективність важко переоцінити.
Чим обробити троянди від борошнистої роси: сучасні рішення Коли ми говоримо про догляд за трояндами, одне з найважливіших завдань — правильно вибрати
Чим кропити картоплю від жуків: природні та хімічні рішення А що як ось цей момент, коли ти стоїш на своїй дачній ділянці, тільки що зібравши всю весняну
Секрети Ефективності: Спрей від Плям Спрей від плям — супергерой сучасного побуту. Куди не кинь оком, завжди знайдеться місце, що потребує термінової “
Що випити від тошнотою після алкоголю: Голова розколюється, а всередині буря? Багато з нас знають це відчуття: вечір, здавалось би, вдався, але ранок після
Найкращий захист від стресу — це мистецтво жити Найкращий захист від стресу це, чесно кажучи, жити так, щоб стресу у твоєму життя не було. Але, як?
Як перевірити окуляри на захист від ультрафіолету Коли ви тримаєте в руках нову пару окулярів, важливість перевірки їх захисту від ультрафіолету важко переоцінити.
Ефективні препарати від плодожерки: захистіть ваш сад! Плодожерка — справжня головоломка для садівників. Не встигнете озирнутись, як вона вже гасає по
Як промити вухо від сірки: секрети і підводні камені Чесно кажучи, якщо у вас коли-небудь закладувало вуха так, що хоч крикни — ви знаєте, про що я.









